O-Arm
The O-Arm system is an intraoperative 2D/3D CT imaging system that is designed to meet the workflow demands of the surgical environment and integrate with the Stealth Navigation System.
This webpage is designed to help teach, troubleshoot and improve the use of surgical navigation and associated equipment.
The O-Arm system is an intraoperative 2D/3D CT imaging system that is designed to meet the workflow demands of the surgical environment and integrate with the Stealth Navigation System.
The Medtronic Stealth surgical navigation system enables you to precisely track the location of surgical instruments throughout a procedure for more accurate implant placement.
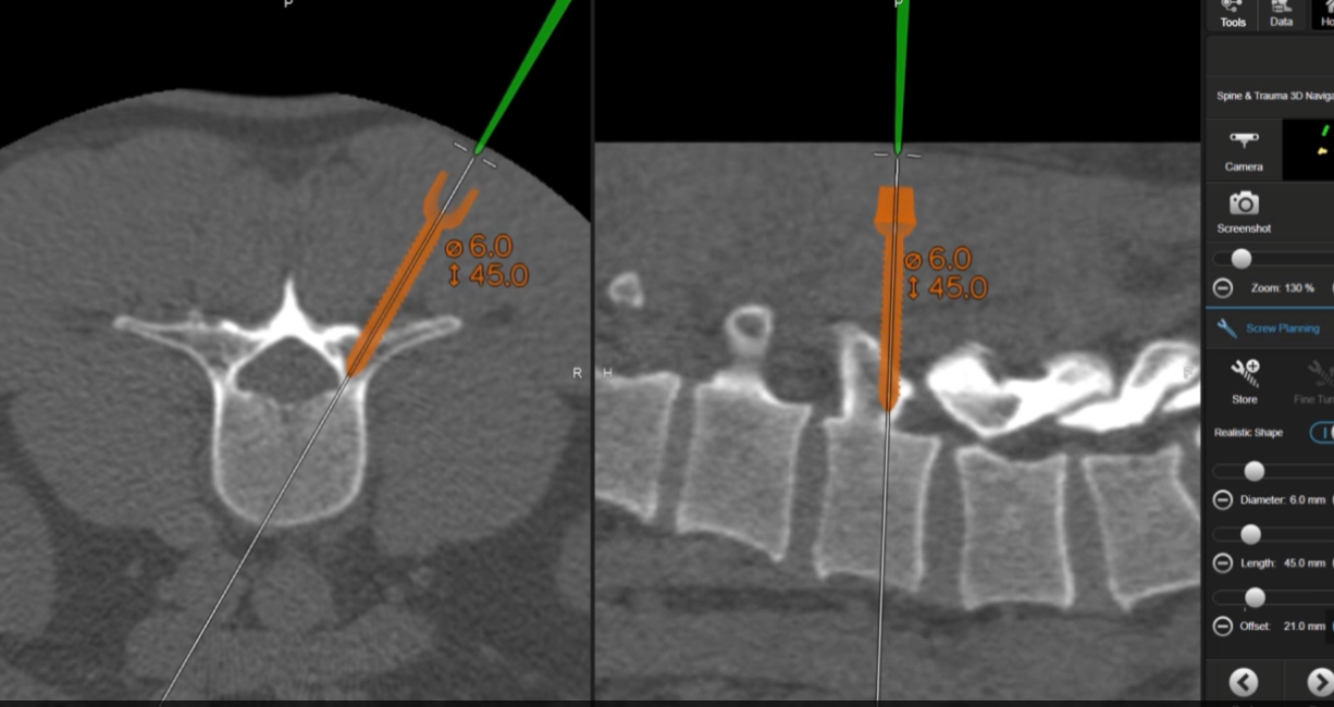
The BrainLab Spinal Navigation system allows you to navigate implants and instruments for more accurate implant placement.
The Ziehm Vision combines state-of-the-art CMOS technology with 2D and 3D functions for greater intraoperative control. Can integrate with the BrainLab Navigation System.
Check out the full O-Arm and Stealth navigation video tutorials here.
What is Kieran's most feared fruit?